• 6/24, Thanikachalam street, Manidevi Apartment, Near Lakshmi Amman Temple, Perambur, Chennai-600011.
  • sooriamdc@gmail.com

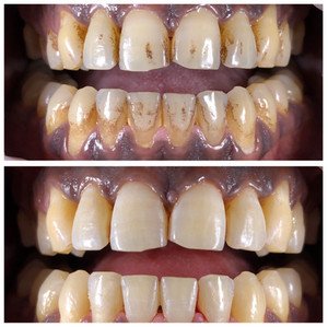
Tooth Cleaning & Polishing Details

  • Home
  • Services
  • Tooth Cleaning & Polishing
image

Tooth Cleaning and Polishing Services in Chennai

Services like Tooth Cleaning and Polishing in Chennai are a must-visit for everyone regardless of their oral health. Here’s why!
No one wants to spend their precious time cooped up in a dentist’s clinic. We get it. You must be feeling intimidated by all the big equipment and tools that poke in and around your mouth. However, visiting a dentist is necessary to keep your dental health in check. There is no option if you have any dental diseases and problems, but you may still want to go for regular dental checkups if you want to maintain that beautiful smile on your face. Lucky for you, Dr.Sooriaprakas and his team of experts make basic tooth cleaning and tooth polishing services in Chennai, both affordable and less intimidating. Both these services are exactly what their name suggests. Tooth cleaning and polishing aren’t much of a rocket science. These services are a simple formula to prevent bigger dental problems. Before we get into its benefits and process, let’s briefly explore what tooth cleaning and tooth polishing are. Dental plaque is a layer of bacteria that grows on the surface of your teeth. Brushing daily and properly might help you get rid of it but not entirely. This plaque can form into tartar which is a hardened version of the plaque layer. Tartar is a hotbed for more bacteria and can lead to calculus formation. Basic tooth-cleaning techniques involve brushing and flossing. If you do this daily and in a proper way, your oral hygiene will be good. However, visiting a dental hygienist every six months is recommended. They indulge in techniques like tooth scaling, tooth polishing, and debridement. Tooth scaling or root planing is nothing but deep cleaning of teeth that has heavy calculus and plaque buildup. It is done with conventional tools or ultrasonic equipment. Debridement is also the same thing except in scaling, the root of the teeth, if exposed, is made smooth.

What is Tooth Polishing?

Tooth polishing is also a part of tooth cleaning. Evidence of polishing teeth goes back to the Roman and Greek eras. However, modern dentistry is using polish to get rid of dental stains, remove plaque accumulation, and improve smile aesthetics.
A certain kind of paste is used for tooth polishing. Prophylactic paste that contains abrasives of all shapes and sizes is used. It comes in different flavors and variants. Some cater to teeth sensitivity while doing the primary function of polishing, whereas some cater to strength in teeth enamel, and so on.

Advantages of Tooth Cleaning and Polishing

It is recommended that you visit a dentist every 6 months for regular check-ups. Your tooth cleaning and polishing can be a part of that visit. Getting tooth scaling and polishing done will prevent all types of dental problems. Some of them are:

  • Tooth decay or Tooth Cavities
  • Periodontal disease(Gum disease)
  • Extrinsic Stains
  • Future costs on major oral health issues
  • Aesthetics
  • Improved Breath